
马剥脱性骨软骨炎(OCD)
很多马场主、马主曾遇到过这种情况:自己的马匹出现关节肿胀、跛行的症状。兽医检查后确诊是关节炎,关节里有软骨碎片。他们觉得很奇怪,明明运动没有过量、也没磕到碰到,怎么就得关节炎了呢?还治不好(目前在国内)。这个无妄之灾是马儿在娘胎里就带来的疾病——剥脱性骨软骨炎,英文简称为OCD。

正常情况下在马驹1岁左右时随着骨骼的发育,部分软骨通过软骨骨化转为骨密质。但患剥脱性骨软骨炎的马匹的软骨骨化不完全。发育异常的软骨会存在关节中,成为骨关节疾病的潜在病因。这种缺陷会导致病变软骨无法贴合骨密质,甚至有软骨碎片掉落残留在关节囊内,不断刺激关节,引起炎症和关节肿胀。

OCD的症状
关节肿胀是剥脱性关节病的典型症状,如上图,马匹左后肢关节囊内严重的炎症反应造成大量关节液积聚于关节腔内。
跗关节部腱鞘炎是最常见的,患病部位会严重肿胀。但事实上其并没有看起来的那么严重。其他患病部位如飞节、后膝关节等尽管症状相对没那么明显,对马匹的影响却更严重。需及时请兽医做进一步的检查和治疗。
患病马匹可能出现跛行,但跛行程度常发生变化。马匹卧地休息后不愿意起来或站立困难等。此外还可能出现异常站姿、活动量减少、动作不自然等异常。

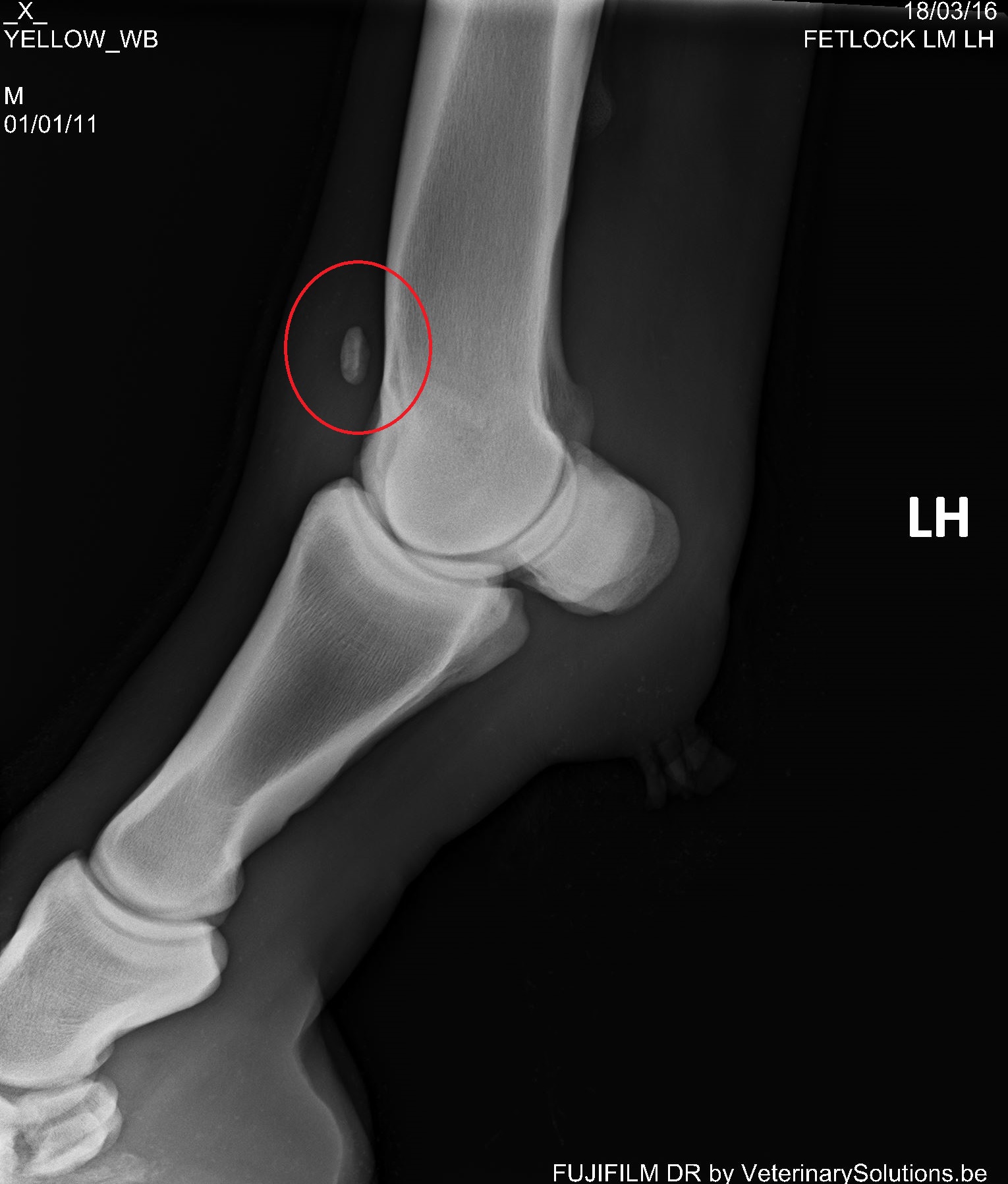
诊断和治疗
临床兽医可以通过临床症状作出初步诊断。确诊需要做X线片检查。例如上图中红圈内是一块很明显的游离于球节的骨软骨碎片。可以采用关节镜做进一步检查,以确定关节的损伤程度并通过微创手术去除软骨碎片,如下图。在国外,马主通常会在马匹三四岁的时候请兽医做一次全面的X线片检查评估它们的关节,一旦发现OCD,及早进行手术能最大程度减少其对关节的损伤,保住马儿未来的运动生涯。

并非所有OCD患病马匹都会表现临床症状。许多马匹在到达成年以后在接受体检时通过X线片检查才被发现OCD,但这个时候关节镜手术治疗的意义已经不大,因为关节已经受到损伤,而且这种损伤是不可逆的。
当马匹在交易前体检发现存在OCD,情况则会变得很复杂。作为兽医,很难去作出一个让交易双方都满意的治疗建议以及预后判断。他需要考虑很多方面的因素,如马匹的病历记录、运动表现、病变部位等。此外,慢性OCD还是造成老龄马匹跛行的重要病因。这是因为长期的关节炎症最后很有可能发展为关节炎。
兽医会根据马匹自身情况、临床症状不同以及病情轻重制定治疗方案。此外,还需考虑马匹年龄和它之后的发展计划。因此,最好能咨询兽医骨科专家,他会告诉你不同治疗方案的利与弊。